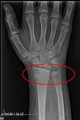
What is this a picture of?:
The above is a part of below:
That my friends is a picture of a broken wrist. Does anyone want to start guessing whose wrist? Go ahead, guess......
It's Moira's!!!!!! Yes, MOIRA'S!!!!! We have made a few possible conclusions to all of this. Moira has either missed visiting ER's, she was hoping to visit all the different hospitals in the area to get a souviner from each gift shop, OR she is trying to match her Build-A-Bear (She got that while she was in the hosptial for her appendectomy. The bear has it's arm in a sling, a cast on his leg and comes a crutch.). Either way, we think she needs to stop visiting hospitals :-)
So what happened? Well were hanging out with our church's small group at a local park. The kids and some of the adults decided to play a game, similar to Marco Polo, just out of water. One of the adults jumped back, trying to keep out of the reach of the person who was "It", and knocked Moira over, who happened to be standing behind them. She fell back and tried to break her fall with her left hand. Which resulted in the above break. I didn't see the actual fall, but did see Jeremiah and the other person 'tending' to Moira who was lying on the ground. I thought, "oh, no, Moira got hurt, poor thing." Then I saw that she had her left hand on her tummy, and my first thought was, "OH, NO! Something happened to her abdomen!" I quickly tried to think if we had somehow not given her enough time to heal.....Then I heard Moira crying out, "OWWWW, my wrist, my wrist!!!" So my next thought was, "Oh, Lord, why her?" We examined, ever so tenderly, her wrist, and while doing so (all of a minute or two) her wrist started to swell right before our eyes. But I knew with the way she was crying that it was either broken, or popped out of joint. So we loaded everyone in the van and took her to the closest ER. Jeremiah stayed with her and I took the rest of the crew home. It's only a 25 minute drive, but we did make a 15 minute stop at Walmart for a snack and to nurse a very fussy baby. Not 30 seconds from walking in the door Jeremiah was calling to say it was x-rayed and they were waiting for it to be put in a splint. About 25 minutes later he called to say come get them!! Wow! So I headed back out to pick them up. Thankfully by that time the Advil we had given to her just moments after the accident, had kicked in. So she was a happy camper.
Well the baby is not happy, so off I must go.

1 comment:
Poor thing! I hope she can stay away from the ERs for awhile, lol! Hope she feels better soon!
Post a Comment